IF:20.8!|PFKM调控骨骼肌分化代谢机制
QQ学术交流群:1092348845
详细介绍
摘要
本研究揭示了骨骼肌谱系中糖酵解关键酶PFKM的时空表达规律,阐明其受信号通路调控的降解机制,以及PFKM介导的代谢重编程对骨骼肌分化进程的直接调控作用,明确区间化代谢在肌细胞命运决定中的关键意义。
研究背景
代谢状态可影响细胞身份的维持与转变,但代谢调控骨骼肌细胞命运的具体分子机制,尚未得到清晰阐释。
主要内容
围绕肌肉干细胞向成熟骨骼肌分化的过程,聚焦PFK1肌肉亚型PFKM,解析其表达动态、上游调控通路,以及PFKM介导的葡萄糖代谢重编程对骨骼肌分化的调控作用。
研究设计
以骨骼肌谱系细胞为研究对象,检测PFKM在分化过程中的表达变化;解析信号通路、蛋白修饰及自噬途径对PFKM的降解调控;通过基因过表达、基因敲低,结合代谢中间产物回补实验,验证PFKM对细胞分化的功能影响。
结果
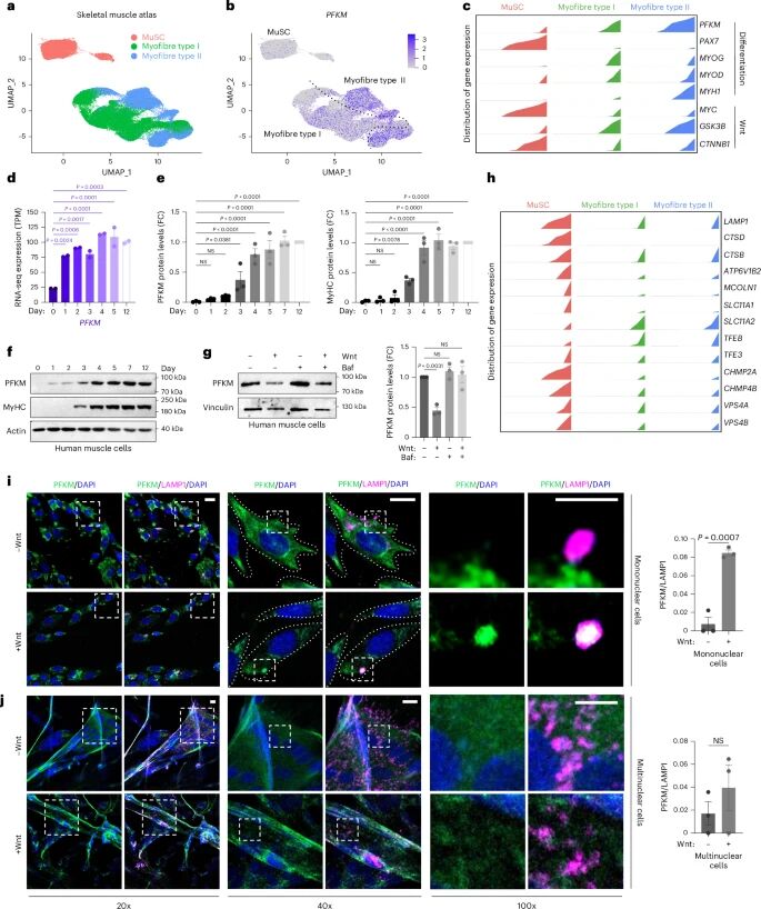
PFKM在肌肉干细胞中低表达,随骨骼肌分化进程表达水平上升;
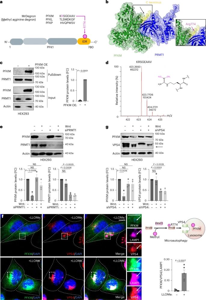
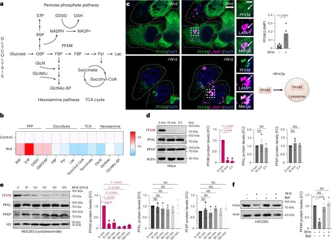
Wnt信号通过PRMT1对PFKM进行选择性甲基化,再经微自噬介导其溶酶体降解;
PFKM降解促使葡萄糖代谢由糖酵解转向戊糖磷酸途径;
PFKM过表达可增强糖酵解,推动细胞向终末肌纤维分化;
PFKM敲低会延缓骨骼肌分化,该表型可通过补充糖酵解中间产物得到挽救。
可进一步探索PFKM在骨骼肌发育与稳态维持中的代谢调控功能;
拓展该代谢调控机制在肌肉骨骼系统其他细胞命运决定中的适用性;
深入解析区间化代谢与细胞身份维持之间的内在关联。
原文来源
1. 期刊:Nature Metabolism
2. 发表时间:2026-02-243.
DOI:10.1038/s42255-026-01457-44.
作者:Melissa Campos、Steven T. Nguyen、Xiangduo Kong、Ying Yang等
- 上一款: IF :10.2!创新多效水凝胶:仿生矿化协
- 下一款: Bioactive Materials|离子

学术前沿