智能水凝胶递送驯化外泌体靶向衰老髓核细胞抑制椎间盘铁凋亡
QQ学术交流群:1092348845
详细介绍
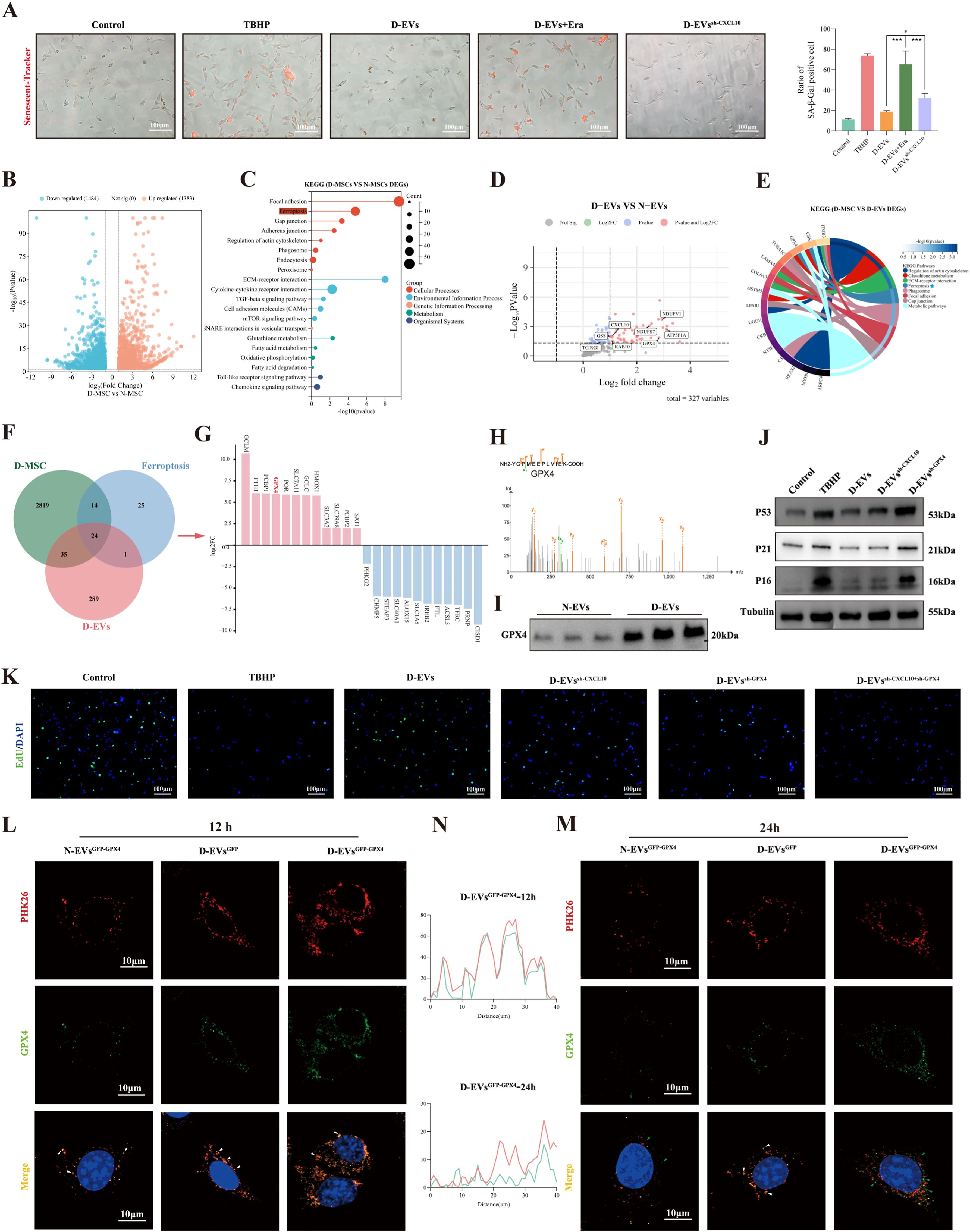
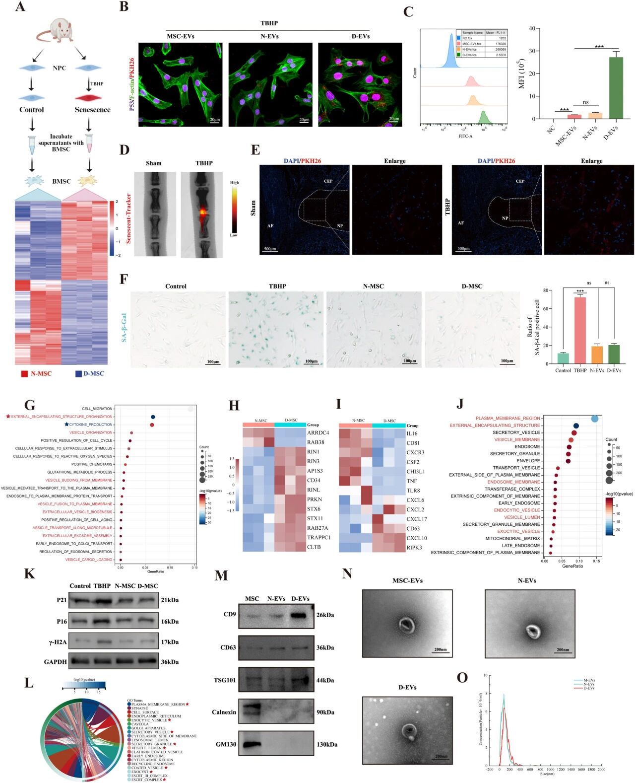
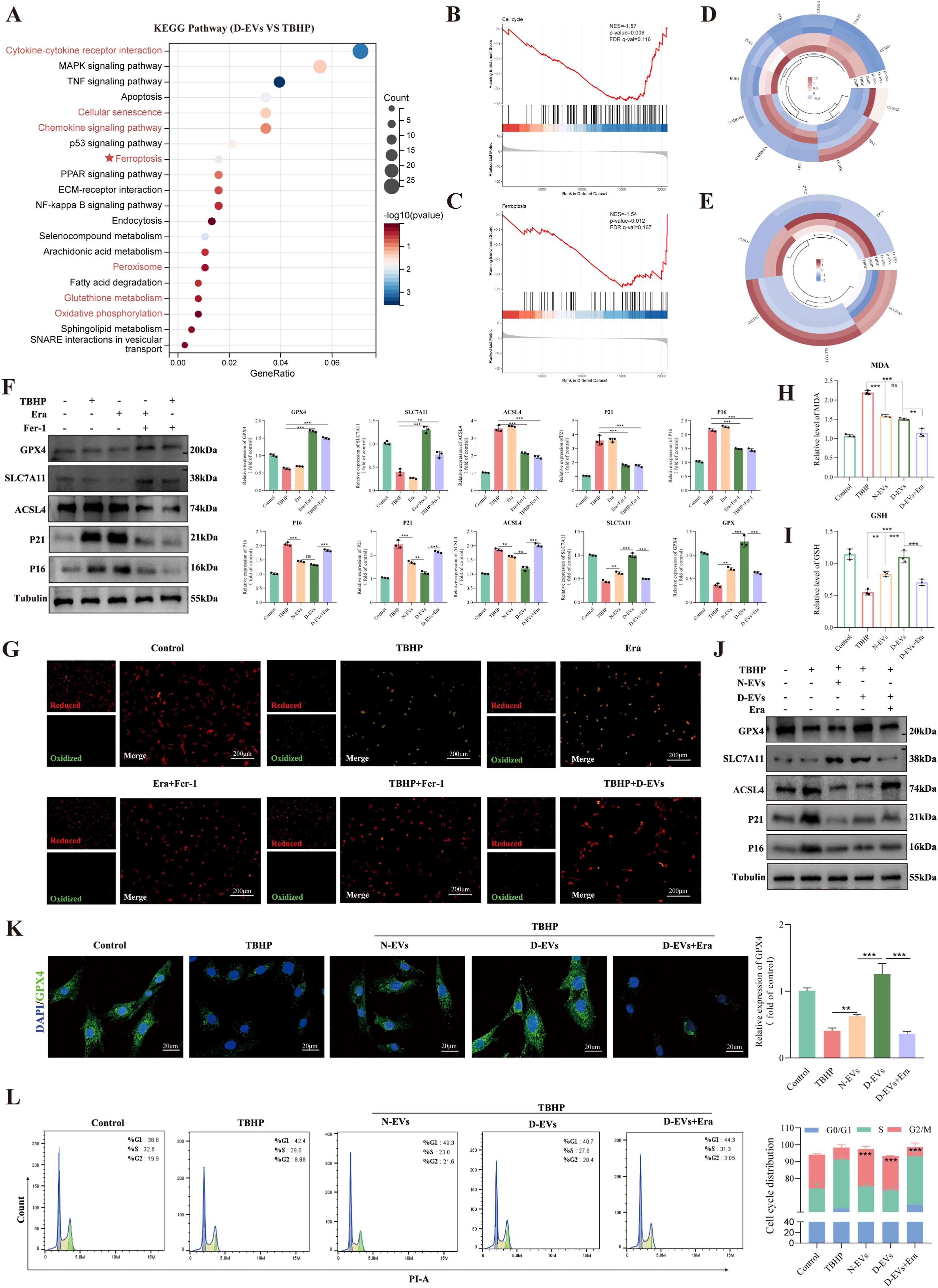
本文针对椎间盘退变(IDD)中髓核细胞衰老与铁凋亡的关键病理环节,提出了一种基于微环境训练的间充质干细胞外泌体(MSC-EVs)与智能水凝胶的协同治疗策略。研究通过模拟衰老微环境对MSC进行预处理,获得了具有增强靶向性和抗衰老特性的“驯化囊泡”(D-EVs)。多组学分析揭示D-EVs富含GPX4蛋白,并通过CXCL10-CXCR3趋化因子轴实现对衰老髓核细胞的特异性结合。功能上,D-EVs能将GPX4递送至受体细胞,从而抑制铁凋亡并缓解细胞衰老。为实现退变微环境中的持续按需释放,研究进一步通过ROS响应肽将D-EVs锚定于热敏感水凝胶上,构建了可注射的智能递送系统。体外与体内实验证实,该系统能有效抑制铁凋亡与衰老相关通路,延缓椎间盘退变进程。相关研究成果以标题“微环境训练的 MSC-EV 装填可注射的智能水凝胶,靶向衰老的髓核细胞,并抑制椎间盘退化的铁凋亡”发表于国际期刊《Bioactive Materials》。
创新点
01
微环境训练策略
通过模拟衰老微环境对MSC进行预处理,获得功能增强的“驯化囊泡”(D-EVs),其靶向性与抗衰老特性显著提升。
02
多组学机制解析
结合转录组与蛋白组学分析,明确D-EVs中GPX4蛋白的富集,并首次阐明其通过CXCL10-CXCR3趋化因子轴实现对衰老髓核细胞的特异性靶向。
03
智能响应递送系统
创新性地将D-EVs通过ROS响应肽锚定于热敏感水凝胶,构建了可注射、能响应病理微环境(如活性氧水平升高)实现按需释放的复合材料。
图文导图
材料开发
材料 / material
微环境训练获得的间充质干细胞来源外泌体(D-EVs)、热敏感水凝胶基质、ROS响应连接肽。
功能 / Function
D-EVs负责携带GPX4等活性蛋白,靶向结合衰老髓核细胞,抑制铁凋亡;智能水凝胶提供三维支撑,实现D-EVs在退变局部的滞留与刺激响应性缓释,协同缓解细胞衰老。
类似的研究思路主要围绕“工程化外泌体+智能生物材料”构建椎间盘退变的修复策略,可分为几个方向:
靶向修饰增强:对外泌体膜进行工程化修饰(如连接特定靶向肽),提升其对退变椎间盘内特定细胞亚群的归巢能力。
微环境响应设计:利用水凝胶的温敏、pH响应或酶响应特性,实现治疗 cargo 在病理信号(如炎症因子、基质金属蛋白酶)触发下的可控释放。
多效协同整合:将外泌体与抗炎药物、抗氧化剂或基因编辑工具共同装载,通过材料系统实现时序或空间上的协同治疗,以同时干预退变的多条通路。
期刊名称:Bioactive Materials
发布日期:2026年02月26日
DOI:10.1016/j.bioactmat.2026.02.030
研发团队:Wenbo Wu, Zhangrong Cheng, Pengzhi Shi, Haiyang Gao, Xianglong Chen, Wang Wu, Zimu Yu, Cao Yang, Yukun Zhang
- 上一款: Bioactive Materials |
- 下一款: Bioactive Materials|离子

学术前沿