hotline:
17715390137
Tel/Wechat:
18101240246 (Technology)
0512-68565571
Email:mxenes@163.com (Sales Engineer)bkxc.bonnie@gmail.com
Scan the code to follow or search the official account on WeChat:
2D Materials Fronrier After paying attention,
click on the lower right corner to contact us,
Enter enterprise WeChat.
Professional Services Online
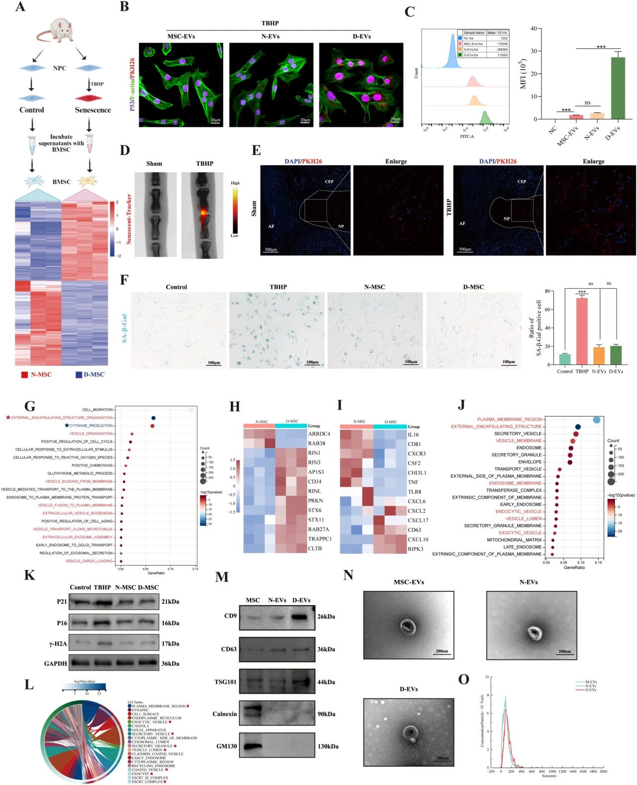
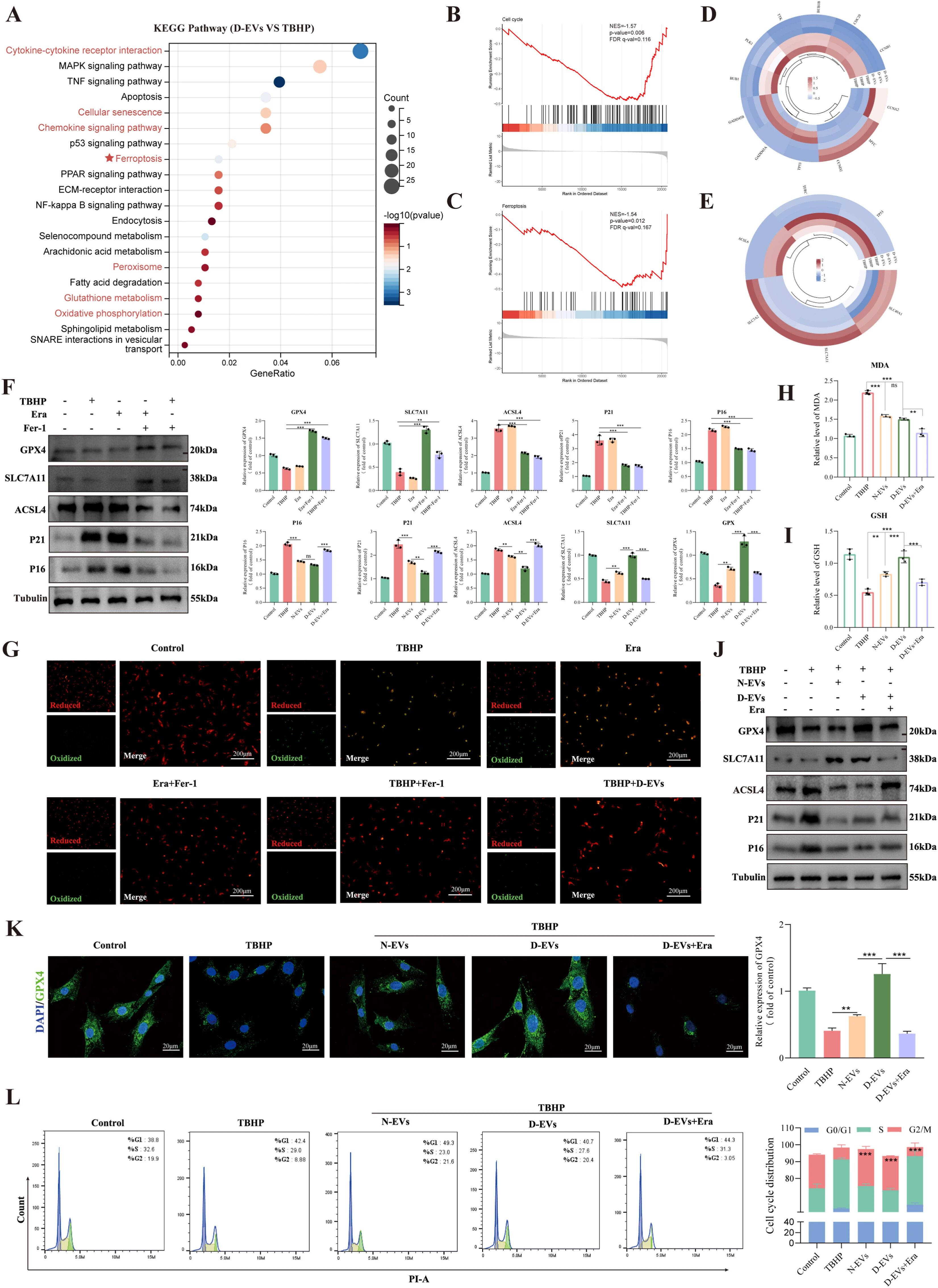
This study targets key pathological factors in intervertebral disc degeneration (IDD)—nucleus pulposus cell senescence and ferroptosis—by combining microenvironment-trained MSC-derived exosomes (D-EVs) with a smart hydrogel. D-EVs were obtained by preconditioning MSCs in a senescent microenvironment, enhancing their targeting ability and anti-senescence effects. Multi-omics revealed D-EVs are enriched with GPX4 and specifically bind senescent NP cells via the CXCL10-CXCR3 axis. Functionally, D-EVs deliver GPX4 to inhibit ferroptosis and alleviate senescence. To enable sustained, on-demand release in the degenerative microenvironment, D-EVs were anchored onto a ROS-responsive, thermosensitive hydrogel, forming an injectable smart delivery system. In vitro and in vivo results confirmed its efficacy in suppressing ferroptosis and senescence-related pathways, delaying IDD progression. The findings were published in Bioactive Materials under the title: "Microenvironment-trained MSC-EVs loaded into an injectable smart hydrogel for targeting senescent nucleus pulposus cells and inhibiting ferroptosis in intervertebral disc degeneration."
Innovation Points
01
Microenvironment Training Strategy
MSC is pretreated by simulating the aging microenvironment to obtain functionally enhanced "domesticated extracellular vesicles" (D-EVs), whose targeting and anti-aging properties are significantly improved.
02
Multi-omics Mechanism Analysis
By combining transcriptomics and proteomics analysis, the enrichment of GPX4 protein in D-EVs is identified, and for the first time, it is elucidated that D-EVs achieve specific targeting of senescent nucleus pulposus cells through the CXCL10-CXCR3 chemokine axis.
03
Intelligent Responsive Delivery System
Innovatively anchor D-EVs onto thermosensitive hydrogel through ROS-responsive peptides, creating an injectable composite material capable of responding to pathological microenvironments (such as elevated reactive oxygen species levels) for on-demand release.
Illustrated Mind Map

Material Development
Materials / material
Mesenchymal stem cell-derived exosomes obtained through microenvironmental training (D-EVs), thermosensitive hydrogel matrix, ROS-responsive linker peptides.
Function / Function
D-EVs are responsible for carrying active proteins such as GPX4, targeting and binding to senescent nucleus pulposus cells, inhibiting ferroptosis; the smart hydrogel provides three-dimensional support, enabling retention of D-EVs in degenerative regions and stimulus-responsive sustained release, synergistically alleviating cellular senescence.
Original Source
Journal Name: Bioactive Materials
Publication Date: February 26, 2026
DOI: 10.1016/j.bioactmat.2026.02.030
Research Team: Wenbo Wu, Zhangrong Cheng, Pengzhi Shi, Haiyang Gao, Xianglong Chen, Wang Wu, Zimu Yu, Cao Yang, Yukun Zhang
| Reminder: Beijing Beike New Material Technology Co., Ltd. supplies products only for scientific research, not for humans |
| All rights reserved © 2019 beijing beike new material Technology Co., Ltd 京ICP备16054715-2号 |